咨询热线
13510909015美国缔纳斯专门为您展示nmn代加工,nmn代加工哪家好,nmn代加工价格等相关方面的信息,请您关注我们!

在人体复杂的肠道微生态系统中,一种名为嗜黏蛋白阿克曼氏菌(AKK菌)的微生物正引发科学界的革命性关注。这种被称为“下一代nmn益生菌新星”的细菌自2004年首次被分离鉴定以来,迅速成为《Cell》《Nature》等国际权威期刊的焦点研究对象,香港工厂益生菌代工,进口益生菌OEM,益生菌nmn代加工。
随着全球微生态健康产业的蓬勃发展,AKK菌凭借其独特的作用机制和广泛的应用前景,正从实验室研究快速走向产业化应用,展现出改写人类健康管理模式的巨大潜力,(进口nmnAKK菌益生菌代工哪家好,香港御安全链路一条龙OEM贴牌定制代工)
01 AKK菌的来源与特性

AKK菌(Akkermansia muciniphila)是人类肠道微生物群中的天然共生菌,占健康人肠道微生物总量的1-4%,根据pH值和粘蛋白的分布不同,(进口AKK益生菌代工)AKK的定殖分布从小肠到大肠逐渐增加,以结肠为主,是迄今该门中具临床研究价值的人类肠道细菌。
与其他益生菌不同,AKK菌具有独特的生态位——专性降解黏蛋白作为能量来源,这使其能够紧密黏附在肠道黏液层,与肠上皮细胞形成物理性互作。(进口益生菌代加工)它通过适度“修剪”肠道黏液层,刺激杯状细胞分泌新的黏蛋白,从而维持黏液层的动态平衡。这一过程不仅保证了自身的生存环境,也加固了肠道屏障功能,为其他有益菌创造了健康的肠道微环境。
02 作用机制:从肠道到全身的健康调控
1、改善肠屏障功能的核心机制
AKK菌的核心作用机制始于其对肠道屏障功能的强化。通过降解黏蛋白产生短链脂肪酸(SCFAs,如乙酸、丙酸),为肠上皮细胞提供能量来源,促进紧密连接蛋白表达。(AKK菌OEM)研究发现,这种作用显著降低了肠道通透性,减少内毒素移位引发的系统性炎症。更深入的研究揭示,AKK菌的外膜蛋白能直接激活Toll样受体2(TLR2),增强杯状细胞的黏蛋白合成能力。
这一机制在南昌大学聂少平团队的糖尿病肾病模型中得到验证:AKK菌干预后,db/db小鼠的肠道屏障完整性显著改善,血浆中内毒素水平下降,进而减轻了肾脏炎症反应。


每日补充1.0×10⁹ CFU的AKK菌持续8周后
肾功能指标:血尿素氮降低28.7%,血清肌酐下降31.2%,尿白蛋白肌酐比(UACR)显著改善
氧化应激:肾脏丙二醛(MDA)水平下降,超氧化物歧化酶(SOD)活性恢复
炎症反应:TNF-α和IL-1β分别降低59.2%和62.4%
肠道菌群:显著增加与肾功能正相关的Duncaniella muris丰度
2、全身健康的精准调控

2025年,善恩康联合南昌大学陈廷涛教授团队完成了全球样本量的AKK菌临床研究(160人),采用随机双盲安慰剂对照设计,展现出AKK菌多靶点调控能力。
研究证实,AKK菌能显著提升胰高血糖素样肽-1(GLP-1)水平,这种“肠促胰素”不仅能促进胰岛素分泌、抑制胰高血糖素释放,还能延缓胃排空,增加饱腹感,从而多维度改善代谢综合征。(香港工厂AKK菌定制)

其分子机制包括:
激活FFAR2/3受体:AKK菌代谢产生的短链脂肪酸激活肠道L细胞上的游离脂肪酸受体,促进GLP-1分泌
调控胆汁酸代谢:改变胆汁酸组成,激活法尼醇X受体(FXR)和G蛋白偶联胆汁酸受体1(TGR5)
增强胰岛素敏感性:通过降低组织炎症水平和改善线粒体功能实现。
不仅如此,该研究还首次同步比较活菌与后生元(灭活菌)的效果差异。

活菌在体重管理和脂肪减少方面表现更优,而后生元在肝功能调节和GLP-1提升方面表现突出。这种差异源于作用机制的不同:活菌通过肠道定植持续改善屏障功能,激活“菌群-代谢-神经”正向循环;(进口益生菌代工)而灭活菌体保留的外膜蛋白等活性成分,可快速调节神经递质,缓解短期情绪波动,为精神健康领域提供了全新的非药物干预方案。
3、免疫保护的核心机制

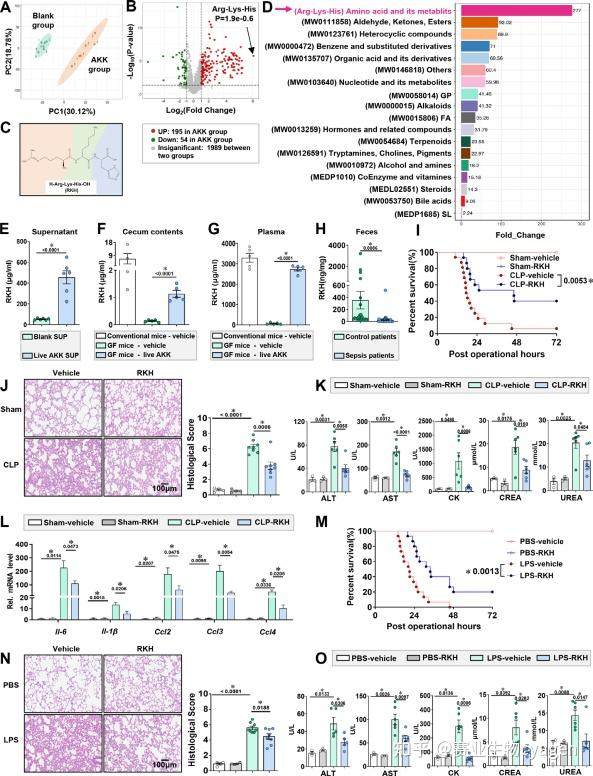
令人惊讶的是,AKK菌的作用远不止于肠道和代谢领域。南方医科大学团队在《Gut》发表的研究揭示,活AKK菌能产生一种名为RKH的三肽(精氨酸-赖氨酸-组氨酸),该物质可拮抗TLR4信号通路,抑制过度的炎症反应。(进口AKK菌品牌全方案品牌定制)在脓毒症模型中,RKH显著降低了实验动物的死亡率,为这一致命性疾病提供了新的治疗思路。
图:AKK菌多系统作用机制示意图

03 产业化与未来前景

AKK菌产业化曾面临巨大挑战——作为严格厌氧菌,其规模化培养存活率不足30%。(香港进口保健品代工)(香港工厂AKK菌代工)原衍生物团队通过革新厌氧发酵技术,研发了重基因编码序列AKK001,成功将生产成本降低80%,并于2023年底实现全球首次商业量产,其建立的20吨级培养系统可满足150万人长期需求。
目前AKK菌产品形态主要分为三类:
1. 活菌制剂:采用五层包埋技术提升胃酸胆盐耐受性。
2. 后生元产品:灭活菌体保留功能蛋白活性,主要应用于抗衰护肤品。
3. 活性成分衍生品:如AKK菌来源的RKH三肽,作为脓毒症治疗新药开发中;以及AKK菌胞外囊泡(EVs),在神经退行性疾病中展现潜力。
04 总结与展望

AKK菌的研究历程展示了微生物-宿主共进化关系的精妙与复杂!未来,随着更多临床证据积累和技术创新,AKK菌有望成为个性化健康管理的核心工具,为肥胖、糖尿病、精神健康等复杂疾病提供全新的解决方案。
在微生物组学与精准医学交汇的今天,AKK菌的故事才刚刚翻开新篇章,它的未来充满无限可能。
集科研、生产、技术服务为一体的美国缔纳斯,主要主营产品有:nmn代加工,nmn代加工哪家好和nmn代加工价格,目前在市场上已经拥有较大规模和发展。